Nematodi: una problematica comune.
I nematodos rappresentano una delle problematiche più diffuse e insidiose nel mondo agricolo. Invisibili a occhio nudo, questi minuscoli organismi possono compromettere la salute delle colture, ridurre la produttività agricola e rendere più vulnerabile l’intero ecosistema del suolo.
Come MS Biotech, lavoriamo ogni giorno per offrire soluzioni biologiche e sostenibili contro i nematodos fitoparásitos. Tra queste, il nostro prodotto Nematech è un punto di riferimento per chi desidera un approccio efficace e rispettoso dell’ambiente.
Cosa sono i nematodi e perché sono un problema
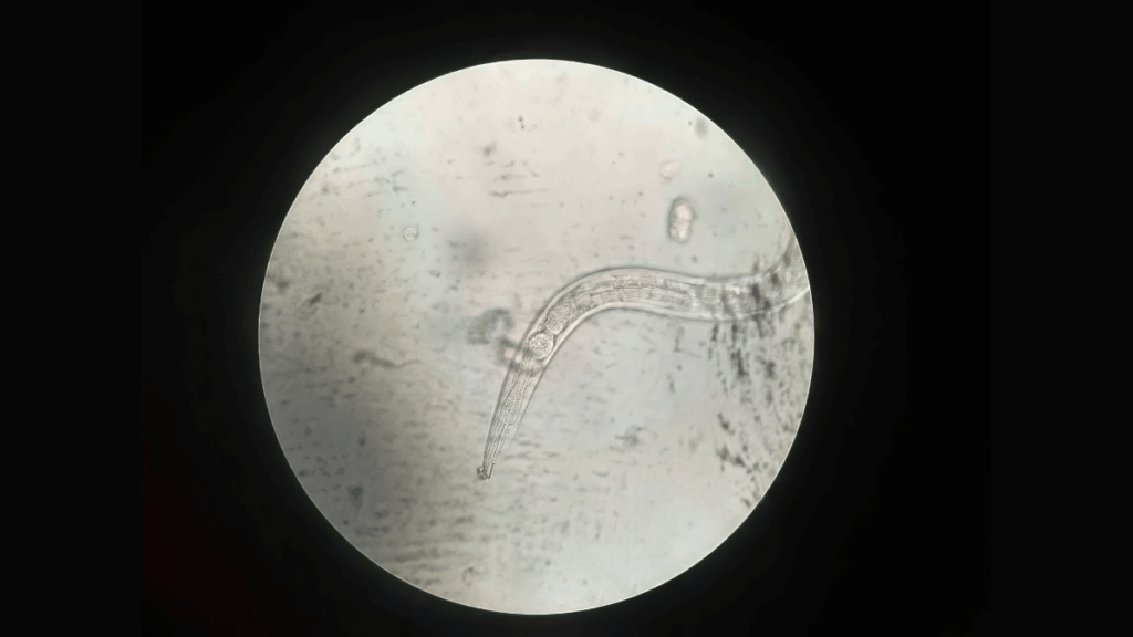
I nematodos son vermi cilindrici microscopici appartenenti al phylum Nematoda.
In natura esistono migliaia di specie, molte delle quali vivono liberamente nel terreno e svolgono funzioni utili: favoriscono la decomposizione della materia organica, migliorano la fertilità del suolo e partecipano ai cicli naturali dell’ecosistema.
Tuttavia, alcune specie si comportano da parassiti di piante, animali o esseri umani e possono causare gravi danni.
Nel caso delle piante, i nematodos fitoparásitos si nutrono dei tessuti radicali provocando:
-
Rallentamento della crescita
-
Ingiallimento fogliare
-
Riduzione della produttività
-
Maggiore vulnerabilità ad altre patologie fungine o batteriche
Le infestazioni nematodiche possono tradursi in perdite economiche significative: si stima che causino oltre il 10% delle perdite agricole mondiali ogni anno.
I principali tipi di nematodi: Anisakis, Ascaris e nematodi fitoparassiti
Nel linguaggio comune si parla spesso di “nematodi” in generale, ma in realtà esistono molti tipi diversi, con effetti differenti su ambiente, salute e agricoltura.
Anisakis
L'Anisakis è un nematode marino che infetta pesci e mammiferi marini.
L’uomo può contrarre l’anisakidosi ingerendo pesce crudo o poco cotto contenente larve vive (come sushi, acciughe marinate o salmone affumicato).
L’infezione può provocare disturbi gastrointestinali e, nei casi più gravi, reazioni allergiche.
Si tratta quindi di una problematica legata alla sicurezza alimentare, non agricola, ma che dimostra la varietà e la pericolosità del mondo dei nematodi.
Ascaris
L'Ascaris lumbricoides è un parassita intestinale umano, diffuso soprattutto nei Paesi a clima caldo o dove mancano adeguate condizioni igieniche.
L’infezione, chiamata ascaridiasi, può causare dolori addominali, perdita di peso e nei bambini problemi di crescita.
Anche in questo caso non si tratta di un nematode agricolo, ma rappresenta un esempio della grande diversità del gruppo Nematoda.
Nematodi fitoparassiti
I nematodos fitoparásitos sono quelli che riguardano direttamente l’agricoltura.
Specie come Meloidogyne spp. (nematodi galligeni), Heterodera spp. (nematodi a cisti) e Pratylenchus spp. (nematodi lesionatori) rappresentano un serio problema per colture come pomodoro, zucchino, melanzana, vite e agrumi.
Questi parassiti attaccano le radici delle pianteformando galle o lesioni e ostacolando l’assorbimento di acqua e nutrienti, con conseguenze dirette sulla crescita e resa delle colture.
La nostra risposta biologica: Nematech
Per contrastare in modo naturale e sostenibile i nematodi fitoparassiti, MS Biotech ha sviluppato Nematech, a formulato microbiologico innovativo che sfrutta la forza dei microrganismi benefici del suolo.
Come agisce Nematech
Nematech opera attraverso un’azione biologica multipla:
-
Competizione biologica
I microrganismi benefici contenuti nel prodotto colonizzano la rizosfera, impedendo ai nematodi di insediarsi e nutrirsi delle radici. -
Produzione di enzimi naturali
Alcune specie presenti in Nematech rilasciano enzimi e sostanze naturali che degradano le pareti cellulari delle uova e larve dei nematodi, riducendone la popolazione. -
Induzione delle difese naturali della pianta (ISR)
Le piante trattate con Nematech sviluppano una maggiore resistenza agli attacchi parassitari, rafforzando il loro sistema di difesa naturale. -
Mejorar la salud del suelo
Grazie alla presenza di microrganismi utili, il terreno diventa più fertile e biologicamente attivo, favorendo una crescita equilibrata e sostenibile delle colture.
In poche settimane, l’applicazione di Nematech consente di osservare una riduzione significativa della popolazione nematodica e un miglioramento dello stato vegetativo delle piante.
I vantaggi di Nematech
Scegliere Nematech significa adottare una strategia biologica moderna e sostenibile per la difesa delle colture.
Tra i principali vantaggi:
-
Zero residui chimici: il prodotto è completamente naturale e non lascia tracce dannose per ambiente o consumatori.
-
Sicurezza e compatibilità: può essere impiegato in agricultura ecológica e integrada, in combinazione con altri fertilizzanti o biostimolanti.
-
Acción preventiva y curativa: efficace sia per proteggere nuovi impianti sia per risanare terreni già infestati.
-
Incremento della produttività: piante più sane e radici più forti garantiscono rese migliori e di maggiore qualità.
Nematech è particolarmente indicato per colture orticole, frutticole e in serra, dove la pressione dei nematodi è più elevata.
La nostra filosofia: ricerca e sostenibilità
Come MS Biotech, crediamo che il futuro dell’agricoltura passi attraverso l’innovazione biotecnologica.
Il nostro obiettivo è fornire prodotti efficaci e rispettosi dell’ambientecapaz de regenerar el suelo, ridurre l’uso della chimica e promuovere un’agricoltura sostenibile.
Nematech nasce da questa visione: unire ricerca scientifica, sostenibilità e performance in un’unica soluzione che aiuta gli agricoltori a contrastare i nematodi fitoparassiti in modo naturale, sicuro e duraturo.
Conclusione
I nematodos rappresentano una sfida complessa per l’agricoltura moderna, ma oggi è possibile affrontarla con strumenti biologici efficaci e sostenibili.
Con Nematech, MS Biotech offre una risposta concreta per proteggere le colture, migliorare la fertilità del suolo e promuovere un’agricoltura rispettosa dell’ambiente.

